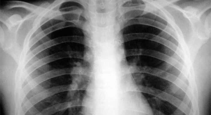
Предположительным источником страшного заболевания стал сожитель матери, ранее судимый мужчина. От туберкулезного менингита скончалась 8-летняя девочка. Ее мать и брат госпитализированы в туберкулезный диспансер Запорожья с аналогичным диагнозом.
Инцидент произошел в Каменке-Днепровской. Выяснилось, что ребёнок жил в неблагополучной семье и последний месяц не посещал школу, в связи с плохим самочувствием. Несколько раз учителя отправляли ее домой, так как во время учебы ей становилось плохо. Но несмотря на это лечением ребенка никто не занимался. В больницу девочка попала сразу в реанимационное отделение в полукоматозном состоянии. К сожалению, малышка была в очень тяжелом состоянии, и несмотря на все усилия врачей она умерла спустя несколько дней.
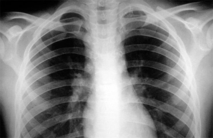
С тем же диагнозом в запорожский противотуберкулёзный диспансер госпитализировали мать девочки и двое ее братьев. Один из мальчиков учится в той же школе.
Как оказалось, мама девочки привела в дом ранее судимого мужчину с открытой формой туберкулеза, который стал жить в семье. Именно он вероятнее всего и стал источником заражения для всей семьи.
Примечательно, что родители других детей не знали о данной ситуации. О том, от чего именно умерла девочка, они узнали из новостей и других источников. Теперь по данному факту работает специальная комиссия, выводы которой обещают обнародовать. В итоге, решается вопрос о введении в учебном заведении карантина, а родители других школьников требуют разъяснений и полной дезинфекции в здании школы.
Ранее мы писали, что врач рассказал, почему запорожцы получают осложнения гриппа.

